Behandlungsablauf
Biointegration
Kronenanfertigung
Behandlungsbeispiele

Zahnregulierung

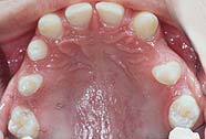
Bei Birgitte Fosner sind 11 Zähne, sowohl im Oberkiefer als auch im Unterkiefer nicht angelegt. (*Aplasie)

Im Oberkiefer sind es 5 Zähne, die ihr fehlen, (4,2 + 2,4,7).

*"Aplasie" bedeutet: eine angeborene, fehlende Anlage einen Zahn zu bilden.

Eine Zahnregulierung wird innerhalb eines Jahres mit Hilfe einer festen Spange durchgeführt, um Platz für 2 Implantate zwischen den Vorderzähnen und den Eckzähnen zu schaffen und die Backenzähne dahinter zu richten.

Nach der Zahnregulierung werden 2 Implantate als Ersatz für die fehlenden Vorderzähne (2+2) eingesetzt. Die Backenzähne werden mit einer Brücke rekonstruiert.

Zurück zu Implantateinsatz